年が明けて約1か月ほど経ちましたね。
ここで昨年の自費診療の納品補綴物(ほてつぶつ)の一部を振り返ってみようと思います。
たまには、歯科技工所らしく制作物をアップしていきますね(^^)
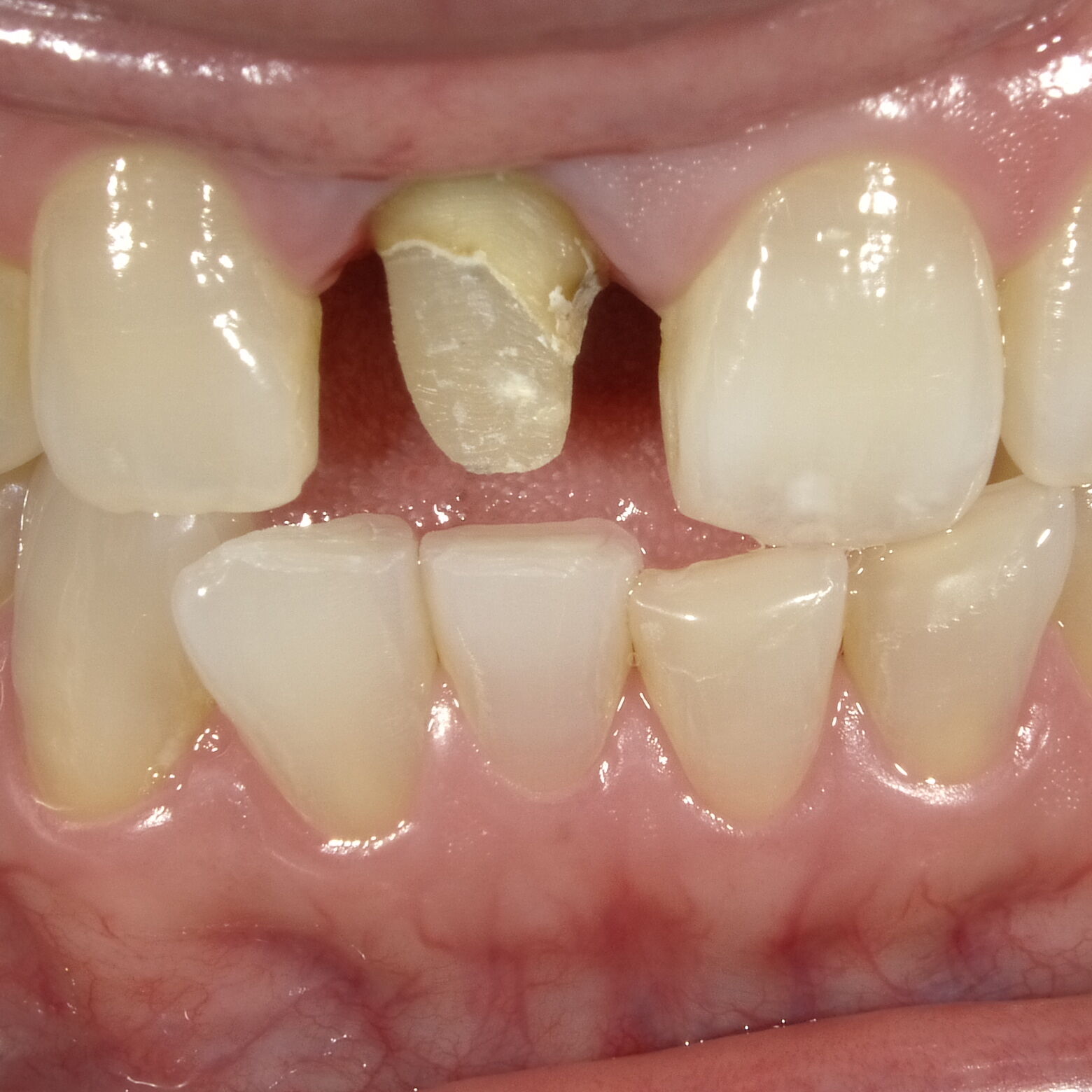
こちらはどこを制作したかわかりますか?

正解はこちら!!
右上1番です。
ジルコニアクラウンで、ステインを施しています。(松風ディスクZRルーセントスープラA1 使用)

本症例は、前歯部1歯欠損様状態に対してジルコニアクラウンで補綴を行ったケースです。
審美領域である前歯部のため、強度だけでなく色調・形態・歯肉との調和を重視して製作しました。
治療前の口腔内所見
治療前写真では、前歯1歯が大きく形成され、歯質の残存量が限られている状態でした。
このようなケースでは、
-
破折リスクへの配慮
-
マージン部の適合精度
-
隣在歯との色調差
が技工操作における重要なポイントとなります。
特に前歯部では、単に白いだけの補綴物では不自然になりやすいため、素材選択が治療結果を大きく左右します。
材料選択:ジルコニアの採用理由
本症例では、ジルコニアクラウンを選択しました。
技工士の立場から見たジルコニアの利点は、
-
高い曲げ強度による長期安定性
-
フルカントゥア設計が可能でチッピングリスクが低い
-
メタルフリーで歯肉の色調変化を起こしにくい
といった点が挙げられます。
前歯部ではe.maxなどのガラス系セラミックも選択肢になりますが、歯質量が少ないケースでは、強度面でジルコニアが有利と判断しました。
形態・色調設計のポイント
周囲歯との調和を図るため、
-
中切歯・側切歯との歯冠幅・長さのバランス
-
隣在歯の表面性状に合わせた微細なテクスチャー
-
単調な白さにならないよう、内部ステインとグラデーション
を意識して設計・仕上げを行っています。
特に前歯部では、唇側中央のボリュームと切縁の透過性が、自然感を左右する重要な要素になります。
装着後の評価
装着後写真では、
-
隣在歯との色調差が目立たない
-
歯肉ラインとの移行が自然
-
全体の歯列バランスが整っている
ことが確認できます。
技工士としては、「どの歯が補綴物かわからない状態」が一つの完成形と考えており、本症例ではその点を達成できたと感じています。
技工士としてのまとめ
ジルコニアは「硬い材料」というイメージが先行しがちですが、
設計・色調調整・表面性状に十分配慮することで、前歯部においても高い審美性を実現できる素材です。
歯科医師との情報共有、形成形態の理解、そして最終補綴をイメージした設計が、症例の質を大きく左右します。
患者様のご要望を聞きながら、納得のいく歯科技工物を提供しています。
これからも患者様に寄り添える歯科技工士を目指していきます。
2026年も青森県黒石市の歯科技工所、株式会社 dental visionをどうぞよろしくお願いいたします。
最後に今回、写真提供にご協力いただいたのは、
青森県弘前市にある歯科クリニックで、
デンタルオフィス よしだ 様 です。
ご協力ありがとうございました。